Generic filters
Exact matches only

Dr A treated a patient with severe dental neglect, restoring her gums and teeth for a full smile makeover that boosted her confidence.

This is a case of a patient who sought treatment after years of dental neglect. With significant bone loss and periodontal disease, her journey involved stabilising gums, restorative procedures and a complete smile makeover, ultimately transforming her smile and boosting her confidence.

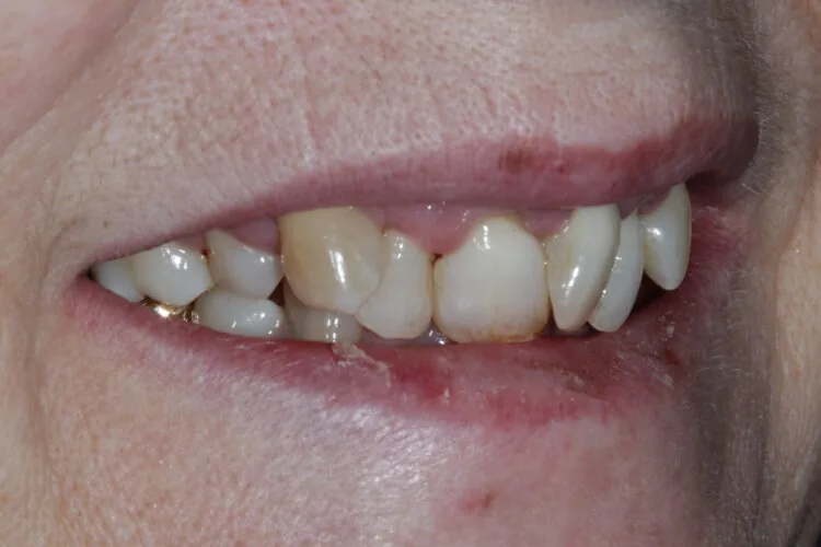
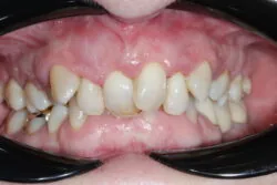
A woman in her mid-50s presented with the desire to improve her smile. She had not attended dental appointments for several years and felt ashamed of her teeth due to longstanding neglect. At the time of presentation, she had significant periodontal deterioration, particularly involving the upper four anterior teeth, which exhibited bone loss and mobility. Although she initially requested orthodontic treatment, this was not viable due to the advanced periodontal condition

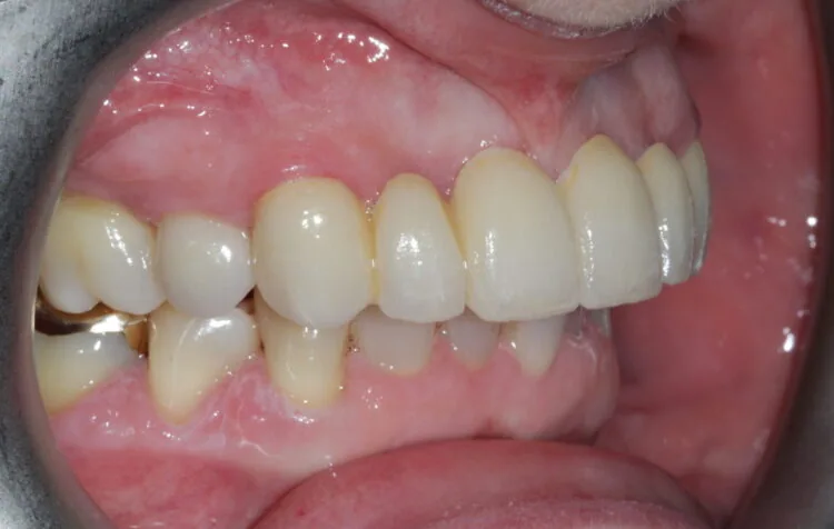
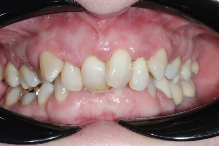
Presenting condition

A comprehensive periodontal examination revealed widespread pocketing and clinical signs of mobility in the anterior region. The upper central and lateral incisors were the most severely affected, and they showed persistent instability despite improvements elsewhere. Generalised recession and attachment loss were confirmed, with periodontal charting from September 2023 and follow-up data in November 2023 demonstrating the extent of disease and its subsequent management.

Pre-treatment images

Initial management and treatment options

Given the patient’s clinical presentation and expectations, a multi-disciplinary approach was adopted. The first year of treatment was dedicated to non-surgical periodontal therapy under the care of both a specialist periodontist and a hygienist team. The main challenge was patient compliance, which required considerable effort to improve oral hygiene routines and increase motivation.

Once periodontal stability was achieved, a restorative-led plan was considered. Orthodontics remained contraindicated due to the residual mobility and structural loss in the upper anterior region. After discussion, the patient consented to the extraction of the upper four anterior teeth and replacement via fixed prosthodontics.

Treatment steps

1.Periodontal treatment was conducted over 12–14 months, involving deep cleaning, monitoring and behaviour change support to establish stable periodontal health.

2. Following stabilisation, the upper four anterior teeth were extracted.

3. A temporary acrylic six-unit anterior bridge was fitted to allow for soft tissue healing and occlusal adjustment over a three-month period.

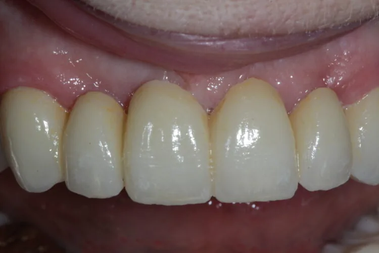
4. After this phase, a definitive six-unit porcelain bridge was placed to restore aesthetics and function.

5. To complete the smile enhancement, porcelain veneers were placed on the premolars to increase the buccal corridor fill and broaden the smile.

Outcome

The final result delivered a dramatic transformation. The bridge and veneers blended naturally, restoring symmetry and confidence to the patient’s smile. Upon seeing the result for the first time, the patient was visibly emotional and described the outcome as far exceeding her expectations.

Discussion

This case highlights the importance of a phased approach when treating complex periodontal and restorative cases. Key to the success was the patient’s eventual understanding of the need for habit change, which enabled the groundwork for durable restorative success. The collaboration between periodontal, hygiene and restorative disciplines ensured that treatment was aesthetic and sustainable.

This case is a powerful reminder that long-term investment in stabilisation and behavioural support often precedes transformative outcomes in patients with complex dental histories. Through patience, interdisciplinary teamwork, and the patient’s commitment to change, a case once deemed hopeless due to periodontal disease was turned into a clinical success. The emotional impact on the patient reinforced the value of comprehensive care and the potential of dentistry to improve quality of life.

Get in touch now, and we’ll help you find the perfect course to kickstart your professional journey into private practice.

PDM Newsletter

Subscribe Now

The Drill Down

Welcome to Private Dental Mentor’s monthly edit, where we drill down on the latest team news, events and insights. Gain sought-after specialist dental tips from our expert mentor and Director, Doctor A, plus be in the know of our upcoming courses from the prestigious Private Dental Mentor Institute.

Close form